
En Chile, la Leucemia Mieloide Aguda ha ganado connotación mediática durante las últimas semanas, aunque su prevalencia es menor que la de otros cánceres y fluctúa, dependiendo del género, entre 4,2 y 6,1 casos por cada 100 mil habitantes.
Cada 4 de febrero se conmemora el Día Mundial contra el Cáncer, con el objetivo de concientizar a la población sobre la prevención y el tratamiento de esta enfermedad que, de acuerdo con la Organización Mundial de la Salud, produce casi 10 millones de fallecimientos al año en el mundo. En las últimas semanas, en Chile ha tomado relevancia mediática un tipo de cáncer que es considerado raro por su baja incidencia y difícil tratamiento: la Leucemia Mieloide Aguda (LMA).
Todavía no se sabe mucho sobre las causas y factores de riesgo de la LMA, y pese a tener una baja prevalencia en comparación con otros cánceres, éste destaca por la complejidad de los tratamientos, cuyos propósitos no solo apuntan a lograr sobrevida, sino que también a mejorar las condiciones de los pacientes que enfrentan esta patología.
¿Qué dicen los especialistas sobre la LMA?
Hay dos tipos de Leucemias (Agudas o Crónicas), que se dan tanto en niños —siendo la más prevalente la Leucemia Linfoblástica— como en adultos, en los que es más común la Mieloide, también conocida como Mieloblástica.
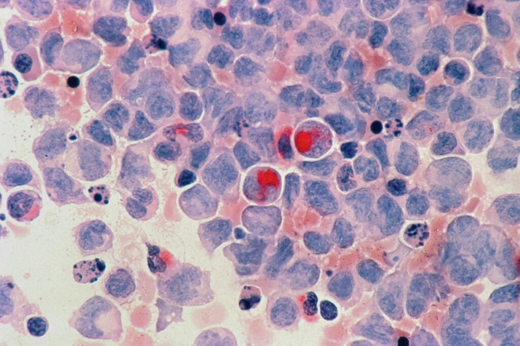
“La Leucemia Mieloide Aguda es un cáncer de la sangre, producido mediante la proliferación de blastos, que son células sanguíneas anormales que se multiplican rápidamente, ocupando el espacio de las células benignas. En general, el paciente evidencia un deterioro en su bienestar, y algunos síntomas pueden ser anemias, sangrados o también infecciones, aunque dependerá del tipo de Leucemia, y también hay pacientes asintomáticos, en cuyos casos es necesario realizar exámenes”, explica el doctor Giovanny Montoya, Head de Medical Affairs para Astellas Farma South Cone.
No obstante, el cansancio y fatiga, producto de una condición de anemia, suele ser un síntoma común. Ésta se produce por falta de glóbulos rojos, consecuencia directa de la proliferación de blastos en la Médula Ósea y, según especialistas, no es un diagnóstico infrecuente en pacientes mayores de 65 o 70 años.
Tratamientos específicos para cada paciente
Uno de los tratamientos más eficaces para esta patología es el trasplante de médula ósea, de esa forma, intervenir directamente en el origen de los blastos que quitaron espacio a las células benignas. Pero no todos los pacientes son candidatos a dicha intervención. Además, en Chile, el sistema público solo cubre esta alternativa hasta los 60 años.
Alternativamente, y pudiendo ser de forma complementaria al trasplante según los especialistas, una vez confirmado el diagnóstico se procede a verificar el perfil genético-molecular del paciente para definir un tratamiento ajustado a lo que pueda resistir. En pacientes denominados “fit” —sin comorbilidad severa, entre otros parámetros— la quimioterapia intensiva es una alternativa.
Por otro lado, en pacientes con un nivel de deterioro mayor se suelen abordar tratamientos paliativos, aunque también existe un tercer grupo que puede recibir un tratamiento combinado entre quimioterapia y con características paliativas.
Avanzan innovaciones para tratar la enfermedad
De acuerdo con datos de la Sociedad Chilena de Hematología, la sobrevida a 5 años se da en un 24% de los casos, aunque baja a 10% en pacientes mayores de 60 años, que es el grupo de población más afectado.
No obstante, en otras partes del mundo, los nuevos fármacos que se han incorporado al tratamiento de la LMA han logrado buenos resultados tanto en calidad de vida como en tasa de sobrevida, que puede ser desde meses hasta años.
En Chile, estos medicamentos solo están disponibles en el sistema privado, por lo que un desafío muy vigente es la incorporación de los tratamientos en el sistema público para reducir la brecha en el grupo etario sobre los 60 años.
“La llegada de nuevos fármacos y los recientes avances en tratamientos hacen de la Leucemia Mieloide Aguda una patología más abordable que hace algunos años. El próximo desafío es poner al alcance de más personas estas innovaciones, que abren nuevos caminos y ayudan no sólo a la sobre vida, sino que también a la calidad de vida de quienes la padecen”, finaliza el Dr. Giovanny Montoya.
CONTACTO21














